Finding The Best Invisalign Providers Nearby 

Finding The Best Invisalign Providers Nearby 

How To Find The Best Invisalign Providers Near You Are you looking for the best Invisalign providers in your area…

Read more

Invisalign Specialists: What Sets Them Apart?

Invisalign Specialists: What Sets Them Apart?

What Makes Invisalign Specialists Different? If you want a whiter smile, start your journey to Schaumburg Dentistry and find an…

Read more

Achieving Smile Perfection: Top Provider Insights

Achieving Smile Perfection: Top Provider Insights

Insights From Top Experts On Achieving Smile Perfection We redefine smile perfection from Schaumburg Dentistry. As top Invisalign providers near…

Read more

Invisalign Doctor Sites: Find The Best Care 

Invisalign Doctor Sites: Find The Best Care 

Finding The Most Effective Care On Invisalign Doctor Sites In dental care, expertise, compassion, and modernity combine perfectly. Schaumburg Dentistry…

Read more

Your Guide To Invisalign: Doctor’s Advice

Your Guide To Invisalign: Doctor’s Advice

The Complete Guide To Invisalign: Tips From A Doctor Schaumburg Dentistry begins your smile transformation with professionalism and care. With…

Read more

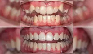
Invisalign Before and After: Real Transformations

Invisalign Before and After: Real Transformations

Introducing Radiant Smiles: Invisalign Before And After Transformations Powerful Invisalign aligners that are hidden in your smile are at the…

Read more

Nearest Invisalign Expert: Quality Care Nearby

Nearest Invisalign Expert: Quality Care Nearby

Invisalign Expert Nearest To You: Reliable Care Around Your haven for a brighter and more confident smile is Schaumburg Dentistry.…

Read more

Maximizing Results with Your Invisalign Doctor

Maximizing Results with Your Invisalign Doctor

Getting The Best Results With Your Invisalign Doctor Welcome to Schaumburg Dentistry, a world of modern, family-friendly, and outstanding dental…

Read more

Schaumburg’s Finest: Your Invisalign Specialists

Schaumburg’s Finest: Your Invisalign Specialists

Your Invisalign Specialists in Schaumburg Elevate your dental experience with Schaumburg Dentistry, where we redefine the essence of care with…

Read more

Best Practices From Leading Invisalign Dentists

Best Practices From Leading Invisalign Dentists

Top Invisalign Dentists Talk About Their Favorite Pro Tips Schaumburg Dentistry can help you reach a world where you can…

Read more