Invisalign Before And After Photos Schaumburg IL

Teeth Teeth after | Invisalign Services | Schaumburg IL
Teeth before | Invisalign Services | Schaumburg IL Teeth after | Invisalign Services | Schaumburg IL
Teeth after | Invisalign Services | Schaumburg IL Teeth after | Invisalign Services | Schaumburg IL
Teeth before | Invisalign Services | Schaumburg IL Teeth after | Invisalign Services | Schaumburg IL
Teeth after | Invisalign Services | Schaumburg IL Teeth before| Invisalign Services | Schaumburg IL

An Invisalign® Journey Video

Tyler Velasquez is one of our patients here at Schaumburg Dentistry in Schaumburg, IL. Watch his amazing Invisalign® Journey Video that will take you through the Invisalign® process and his experience with it.

A dentist showing his patient a 3D scan of their teeth.
There are many benefits to using Invisalign treatment to straighten your teeth and correct your bite.
 
The Invisalign trays are easy to wear, so you can continue to enjoy your favorite foods and beverages. Oral hygiene is also easier since the trays can be removed at any time. 
 
You will grow in confidence with your smile as you straighten your teeth in a way hardly noticeable. With fewer dental visits and less-invasive treatments, your Invisalign trays can fix current dental issues and prevent additional ones from taking place.
 

If you are ready for a happier, healthier smile, Contact Schaumburg Dentistry today!

 

Read Our Reviews

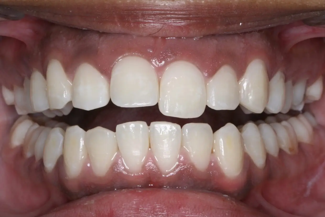
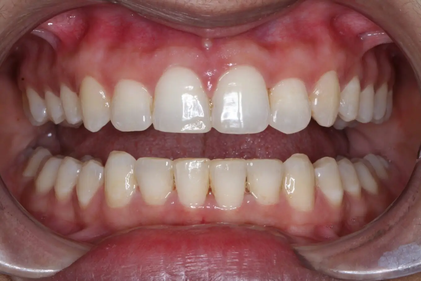
Teeth before | Invisalign Services | Schaumburg IL
This patient had a combination of spacing and crowding. Notice how the space was closed and the crowded teeth were straightened to give the patient a more esthetic archform.
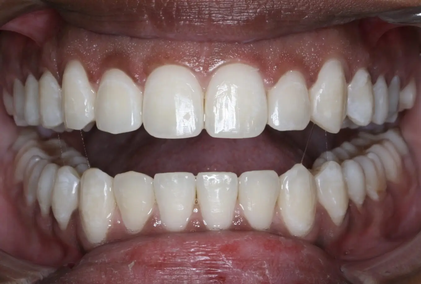
Teeth before after | Invisalign Services | Schaumburg IL
This patient had a combination of spacing and crowding. Notice how the space was closed and the crowded teeth were straightened to give the patient a more esthetic archform.
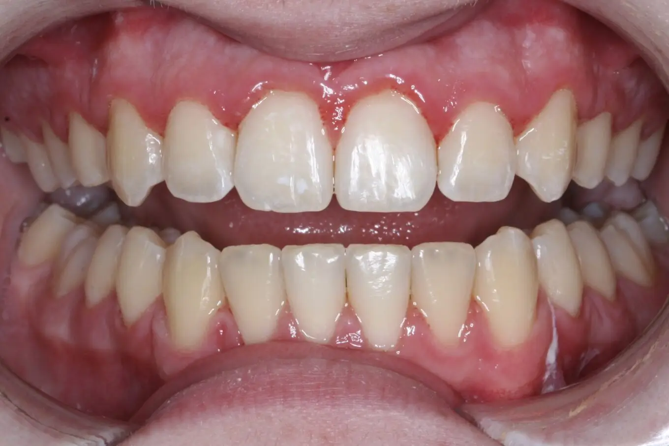
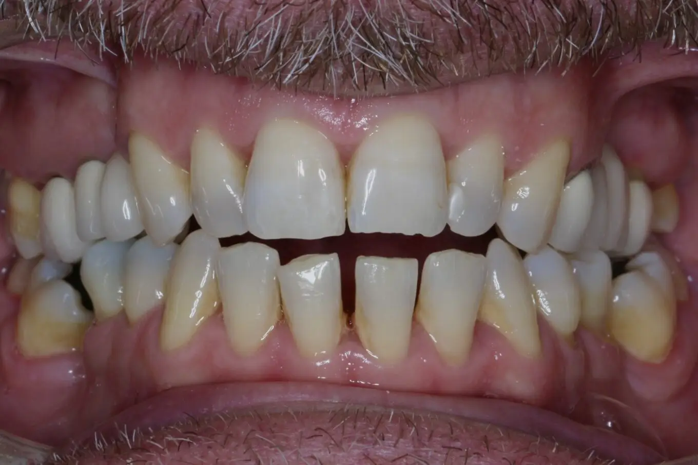
Narrow to broader smile | Teeth before after | Invisalign Services | Schaumburg IL

This patient’s main concern was their “narrow smile” and was initially wanting veneers. However, through arch expansion with Invisalign we were able to give the patient the broader, fuller smile they wanted without any veneers. 

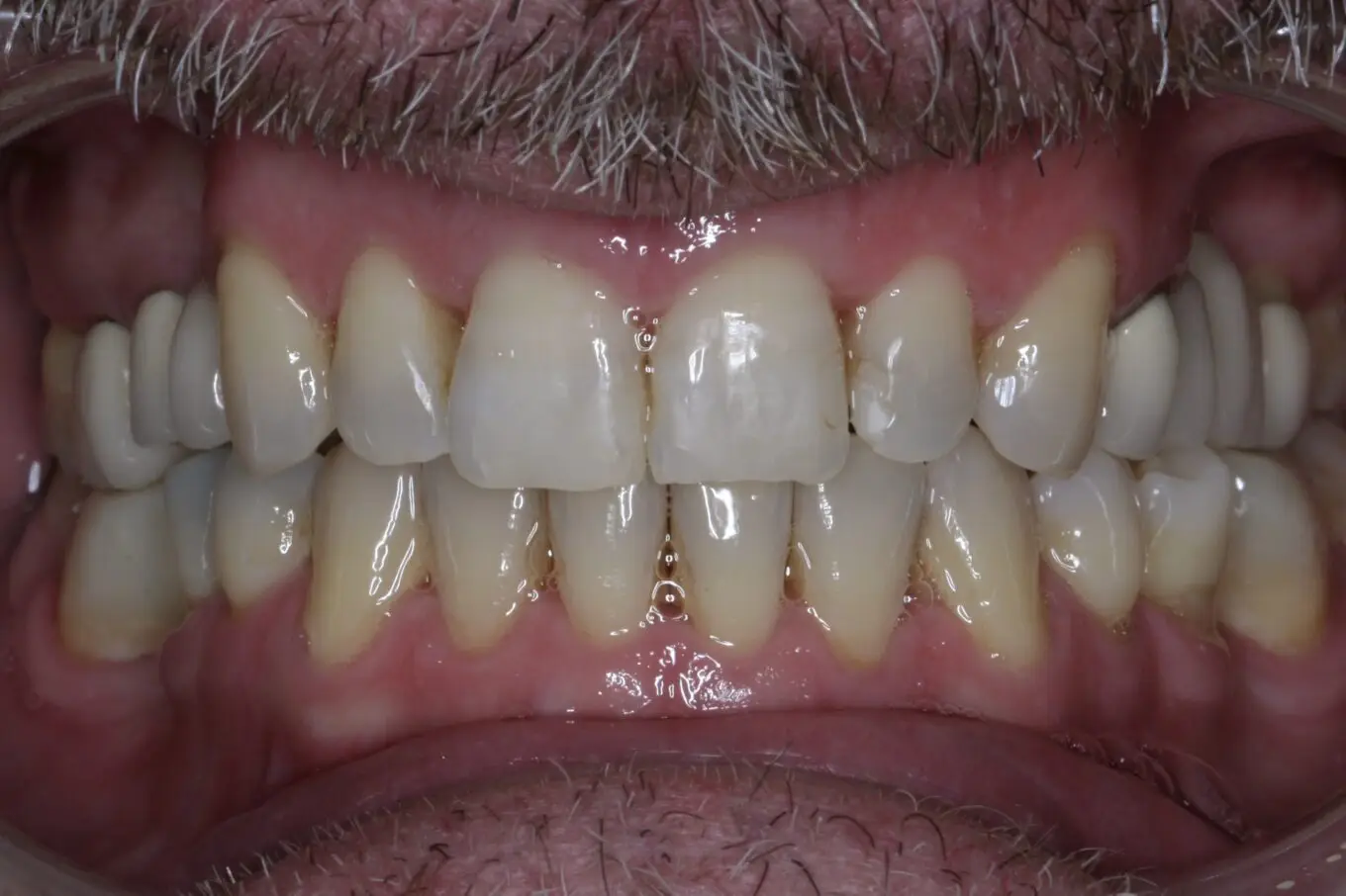
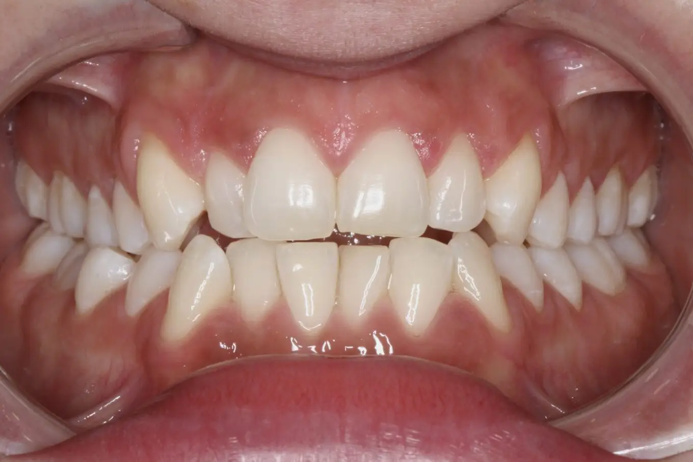
Teeth before after | Invisalign Services | Schaumburg IL

This patient didn’t like how her front teeth were flared out and spaced. Invisalign was used to properly align the teeth and close the spaces.

Perfect results with Invisalign | Teeth before after | Invisalign Services | Schaumburg IL

This patient was concerned about her “tilted” teeth. We were able to straighten her teeth and address the crowding within a short 5 months using Invisalign. 

Crooked upper and lower teeth | Teeth before after | Invisalign Services | Schaumburg IL

The patient felt her smile was uneven and was concerned about the position of her front teeth and wanted a “better smile.” These results were delivered in 8 months using Invisalign.  

Teeth Alignment | Teeth before after | Invisalign Services | Schaumburg IL

 The blue lines help show the patient’s initial malalignment prior to Invisalign treatment and demonstrate how they became straight afterwards.

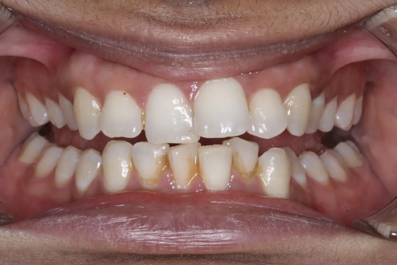
Chipped uneven teeth | Teeth before after | Invisalign Services | Schaumburg IL

This patient would have more significant buildup and inflammation around her lower front teeth due to the crowding. By improving the position of these teeth, it allowed for easier home care and a straighter smile. 

Moderate crowding lower teeth | Teeth before after | Invisalign Services | Schaumburg IL

 This patient noticed the crowding in his lower front teeth get worse over the last few years and reported difficulty with flossing and keeping those teeth clean. This case was finished in 6 months using Invisalign. 

Lower crowding | Teeth before after | Invisalign Services | Schaumburg IL

The patient stated that their front teeth started to shift after her wisdom teeth were removed and she stopped wearing her retainer. The treatment duration for this patient was 6 months of Invisalign. 

Uneven upper teeth | Teeth before after | Invisalign Services | Schaumburg IL

This patient was concerned about their rotated front teeth. This case qualified as an “Express case” and was completed with Invisalign under 6 months

Space between front teeth | Teeth before after | Invisalign Services | Schaumburg IL

The patient did not like the space between her front teeth and felt her smile was uneven. She also wanted a broader smile. Treatment was completed using Invisalign and  polishing of her chipped front teeth.

Moderate crowding upper teeth | Teeth before after | Invisalign Services | Schaumburg IL

This patient wanted to correct their asymmetric tooth position and wanted a straighter smile. Using Invisalign for 5 months, we were able to give the patient their desired results.

Moderate lower crowding | Teeth before after | Invisalign Services | Schaumburg IL

This patient chose Invisalign to correct the crowding of her lower teeth and to improve the comfort of her bite. Invisalign treatment of 8 months allowed us to correct the crowding and place the teeth in a healthier position that will prevent future chipping and breakdown of her front teeth.